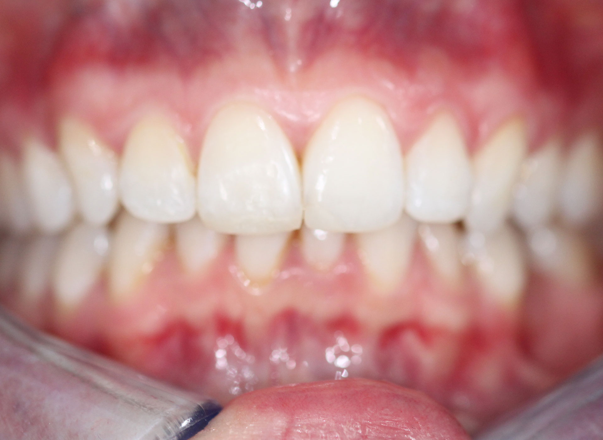
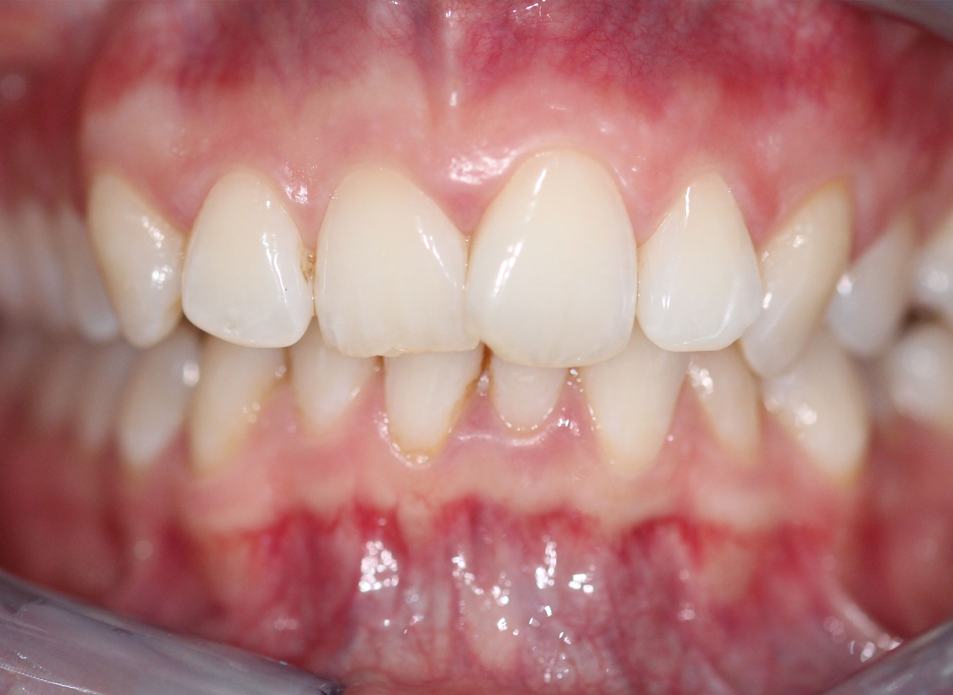
Our stunning smile makeover results
Discover the confident, healthy and beautiful smile you’ve always wanted with a completely personalised smile makeover in Edinburgh. Our patient-focused approach, high-quality treatments and expert care combine to give outstanding results – book today!
See more results









